Cabinet de Parodontologie et d'Implantologie
Dentistes Nice - Dr Surmenian et Dr Altounian
Cabinet de Parodontologie et d'Implantologie

23 rue Alphonse Karr
06000 NICE

Dentistes Nice - Dr Surmenian et Dr Altounian

Blog - Page 13

Comblement osseux après une extraction dentaire

Comblement osseux après une extraction dentaire

Maxillaire complet et traitement implantaire pour un bridge fixe vissé

Maxillaire complet et traitement implantaire pour un bridge fixe vissé

Si vous passez vos vacances à l’étranger...

Si vous passez vos vacances à l’étranger...

Un souci dentaire survenant lorsque vous êtes à l’étranger peut très vite se compliquer en cas de problème de communication avec le praticien consulté.

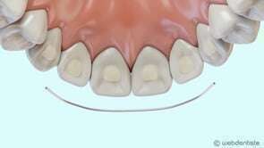
Fil de contention

Fil de contention

Conséquence de la perte des dents postérieures

Conséquence de la perte des dents postérieures

Protocole de dévitalisation d'une dent ou traitement endodontique

Protocole de dévitalisation d'une dent ou traitement endodontique

Affichage des articles 73-78 sur 137

Création par Webdentiste

Connexion